Dental Treatments (Veneers)

Smile D Dental Clinic
Responsible Dentistry Since 2007
Smile D Dental Clinic has been providing safe, ethical, and patient-centered dental care. With a strong focus on long-term results and post-treatment management, we are committed to delivering treatments that protect your natural teeth and maintain beautiful smiles for years to come.
🏆 Why Choose Smile D?
✔ Responsible & Ethical Dentistry
Since opening in 2007, Smile D has maintained a spotless medical record with no malpractice disputes or lawsuits. We prioritize patient safety and transparent treatment planning.
✔ Long-Term Post-Operative Care
Our care does not end after treatment. We provide continuous follow-up management to prevent relapse and ensure lasting results.
✔ Experienced Medical Team
All treatments are led by highly experienced dental specialists with over 17 years of clinical experience. Even complex cases are handled with precision.
✔ 1:1 Doctor Consultation System
Patients receive direct consultations with doctors who listen carefully to individual concerns and goals, ensuring personalized treatment plans.
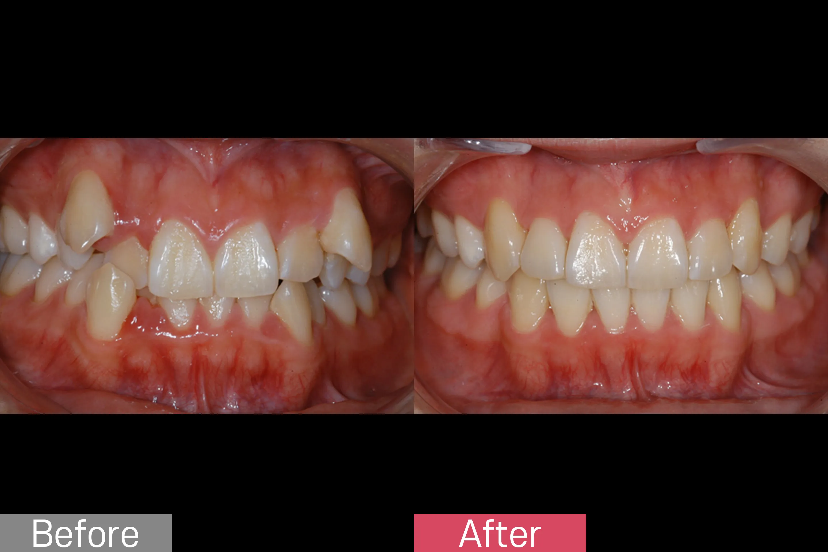
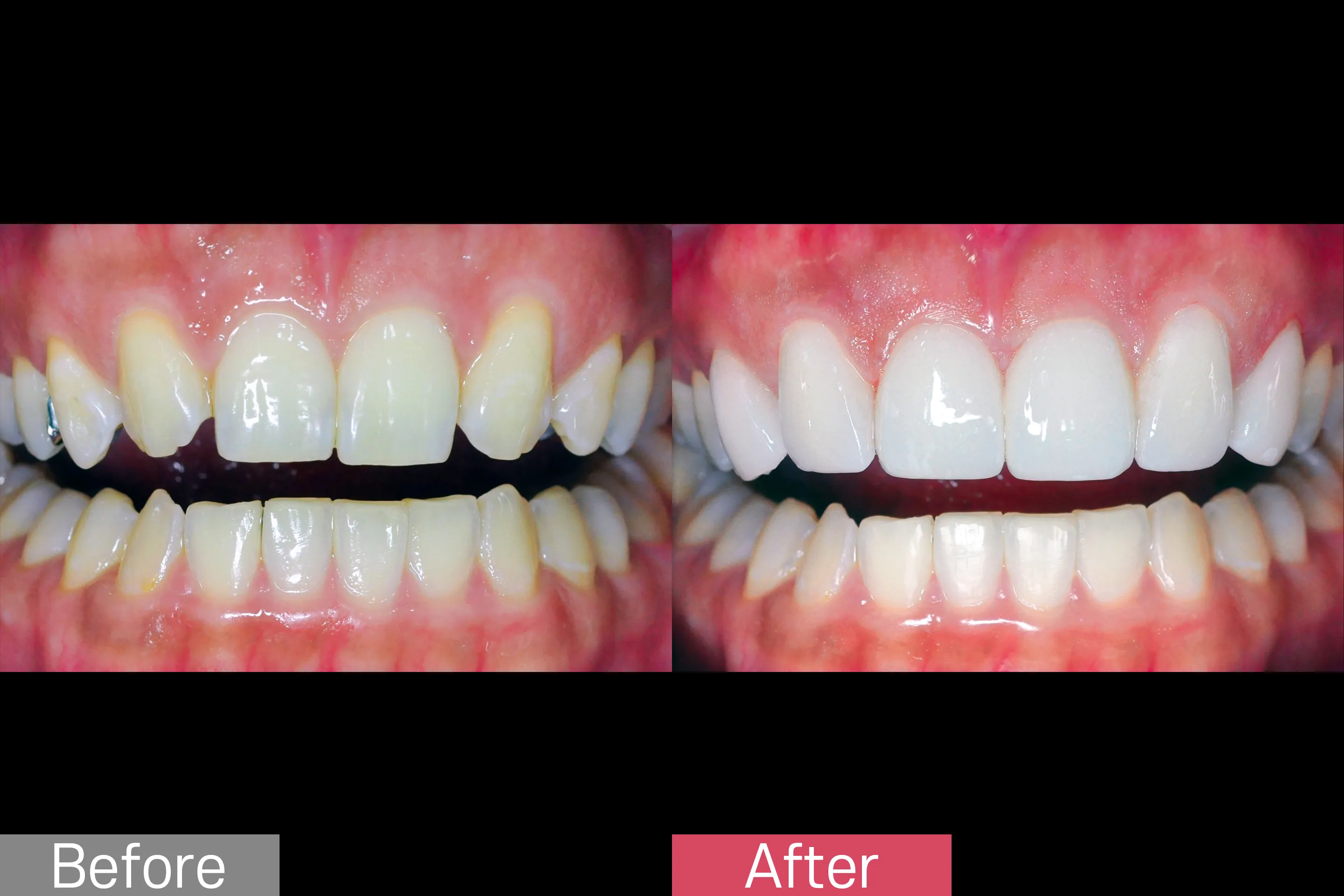
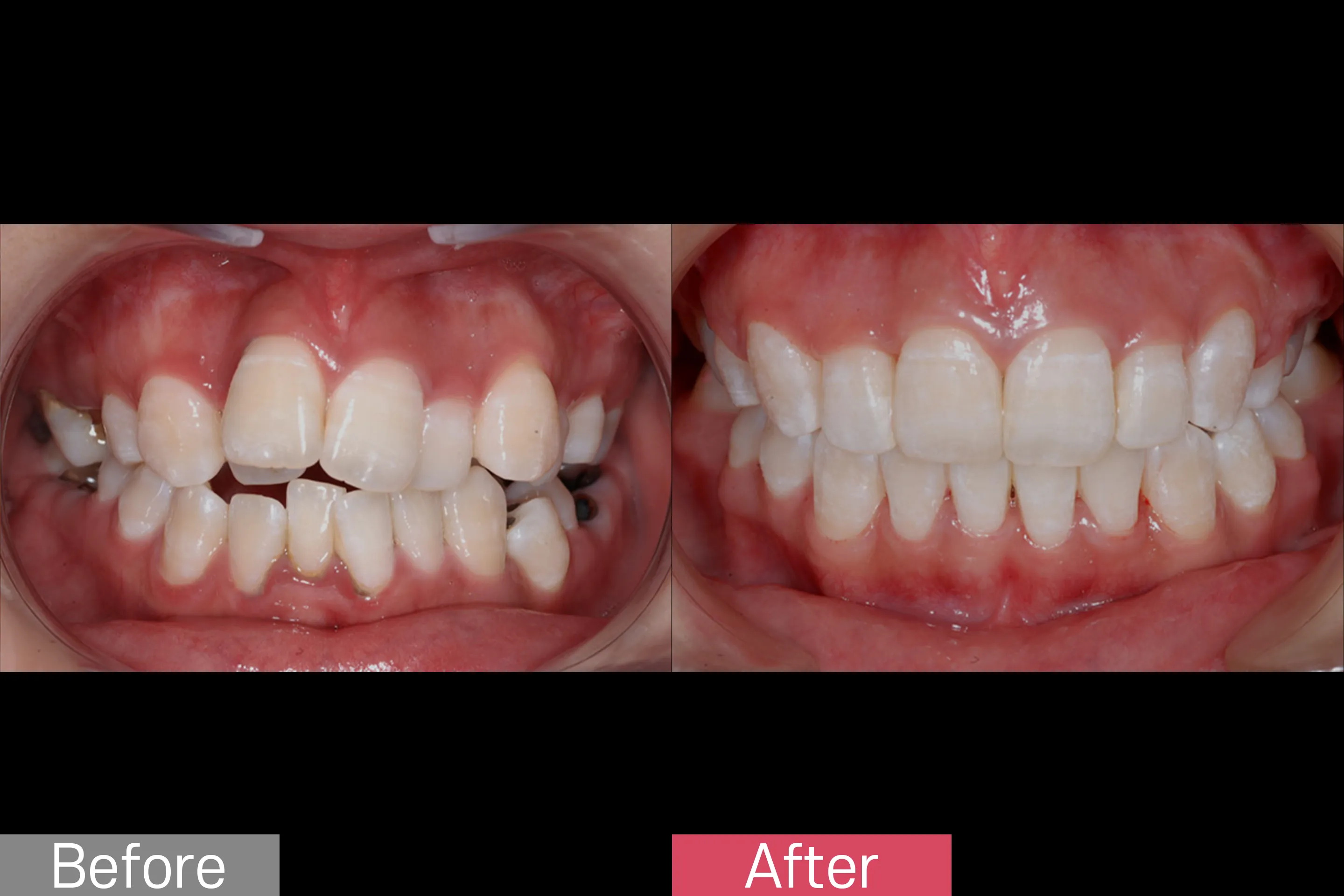
💎 Smile Wrapping (Minimal-Prep Veneer Treatment)
Smile Wrapping is a conservative cosmetic dental solution designed to enhance your smile while preserving your natural teeth.
Key Benefits
- Minimal Tooth ReductionOnly 0.1–0.2mm of enamel is used, compared to traditional veneers that require deeper tooth shaving.
- No Anesthesia NeededThe procedure is gentle and usually painless, eliminating the need for anesthesia.
- Natural Tooth ProtectionYour original tooth structure remains intact, reducing the risk of sensitivity or nerve treatment.
- Highly Natural Aesthetic ResultsImproves tooth shape, size, alignment, and color for a clean, harmonious smile.
Advanced Technology
- Painless Anesthesia SystemMinimizes discomfort during any necessary procedures.
- iTero 3D ScannerProvides precise digital measurements of your teeth for accurate treatment planning.
Who is Smile Wrapping For?
- Worn or chipped teeth
- Gaps between teeth
- Uneven tooth size
- Whiter, cleaner smiles
- Asymmetrical teeth
- Yellow or discolored teeth
✅ Smile Wrapping Treatment Process
Personalized Consultation
Doctors analyze your teeth and gums to create a tailored treatment plan.
Minimal Tooth Shaping
Only necessary areas are gently adjusted to protect your natural teeth.
Custom Smile Design
Your veneers are designed to match your facial features and preferences.
Final Smile Completion
The veneers are bonded for a natural, beautiful finish.
Traditional Veneers vs. Smile Wrapping
| Category | Traditional Veneers | Smile Wrapping |
|---|---|---|
| Tooth Reduction | Significant | Minimal |
| Thickness | ~0.5mm | 0.1–0.2mm |
| Anesthesia | Required | Not needed |
| Nerve Treatment | Sometimes | Not required |
| Tooth Damage | Possible | Minimal |
Before & After







